Pityriasis capitis (roos)

Wat is pityriasis capitis (roos)?

Pityriasis capitis, beter bekend als roos, is een veelvoorkomende aandoening van de hoofdhuid die wordt gekenmerkt door fijne, witte tot gelige schilfertjes en soms jeuk. Roos is een milde vorm van seborroïsch eczeem en is niet besmettelijk. Bij mannen kan het ook in de baard zitten. Ongeveer de helft van alle volwassenen krijgt gedurende het leven te maken met roos. Hoewel het geen gevaarlijke aandoening is, kan het cosmetisch storend zijn en leiden tot onzekerheid en ongemak. 

Hoe wordt pityriasis capitis (roos) behandeld?

De behandeling van roos richt zich vooral op het verminderen van schilfering en jeuk. Meestal zijn speciale shampoos voldoende om klachten effectief te verminderen of te laten verdwijnen. Bij sommige patiënten is de roos zeer fors en plakken de schilfers vast aan het hoofd. Dan kunnen meer intensieve behandelingen worden ingezet, zoals het (tijdelijk) slikken van medicatie.

Bij ernstige gevallen of wanneer shampoos onvoldoende effectief zijn, kunnen lotions met corticosteroïden voorgeschreven worden, vooral als er ook eczeemklachten zijn zoals roodheid en jeuk. 

Hoe ontstaat pityriasis capitis (roos)?

Roos ontstaat meestal door een combinatie van factoren, waaronder een verhoogde talgproductie, een overgroei van gisten (Malassezia-soorten) en aanleg. De Malassezia gist is van nature aanwezig op de huid, maar veroorzaakt schilfering wanneer deze zich overmatig vermenigvuldigt.

Malassezia-soorten, met name Malassezia globosa, kunnen zelf geen vetten aanmaken en voeden zich met de lipiden uit de talglaag op de huid. Hierbij zetten ze vetten om in verzadigde en onverzadigde vetzuren. De verzadigde vetzuren worden door de gist geconsumeerd, terwijl de onverzadigde vetzuren op de huid achterblijven. Deze onverzadigde vrije vetzuren kunnen de huid irriteren en een ontstekingsreactie veroorzaken met roodheid en jeuk. Dit wordt seborroïsch eczeem genoemd.

Bij een vette hoofdhuid (seborrhoea capitis) is er een verhoogde talgproductie, waardoor de Malassezia-gisten zich gemakkelijker kunnen vermenigvuldigen. Dit verklaart waarom mensen met vet haar vaker last hebben van hoofdroos. Daarnaast kunnen externe factoren roos verergeren, zoals het gebruik van irriterende haarproducten.

Welke klachten kan pityriasis capitis (roos) geven?

Pityriasis capitis veroorzaakt meestal milde tot matige klachten. Veel voorkomende symptomen zijn:

  • Witte tot gelige schilfers op de hoofdhuid, in het haar en op de schouders
  • Jeuk van de hoofdhuid
  • Roodheid of irritatie van de hoofdhuid

Naast lichamelijke klachten kan roos psychosociale gevolgen hebben, zoals onzekerheid en schaamtegevoelens over het uiterlijk. Bij sommige patiënten kan de roos zeer fors zijn en de kwaliteit van leven sterk beïnvloeden.

Bij wie komt pityriasis capitis (roos) voor?

Roos komt veel voor. Ongeveer 50% van de volwassenen krijgt er gedurende het leven mee te maken. Het kan op elke leeftijd optreden, maar komt het meest voor tussen het 20e en 40e levensjaar. Roos komt iets vaker voor bij mannen dan bij vrouwen en kan vaker voorkomen bij mensen met een vette huid, seborroïsch eczeem of psoriasis.

Hoe ziet pityriasis capitis (roos) eruit?

Roos is een verzamelnaam voor schilfering van de hoofdhuid en kan variëren van mild tot ernstig.

  • Milde roos: fijne, droge of juist wat vettige witte schilfers op de hoofdhuid en in het haar. Vaak vallen deze vooral op door schilfers op donkere kleding. De hoofdhuid zelf kan er verder normaal uitzien en jeuk kan aanwezig zijn, maar hoeft niet.

  • Seborrhoïsch eczeem: hierbij is er naast schilfering ook roodheid en irritatie van de hoofdhuid. De schilfers zijn vaker groter en vettiger (geel-wit) en de hoofdhuid kan gevoeliger zijn of meer jeuken. Vaak zijn ook wenkbrauwen, neus-lippenplooi, oren en baard aangedaan.

  • Pityriasis amiantacea: dit is een hevigere vorm van schilfering, met dikke, pleksgewijze, vastklevende schilfers die als het ware rondom de haren vastgekit zitten.

Kortom: roos is vaak onschuldig, maar kan in ernst toenemen en soms overgaan in een meer ontstoken variant of in het beeld van pityriasis amiantacea.

Hoe wordt de diagnose gesteld?

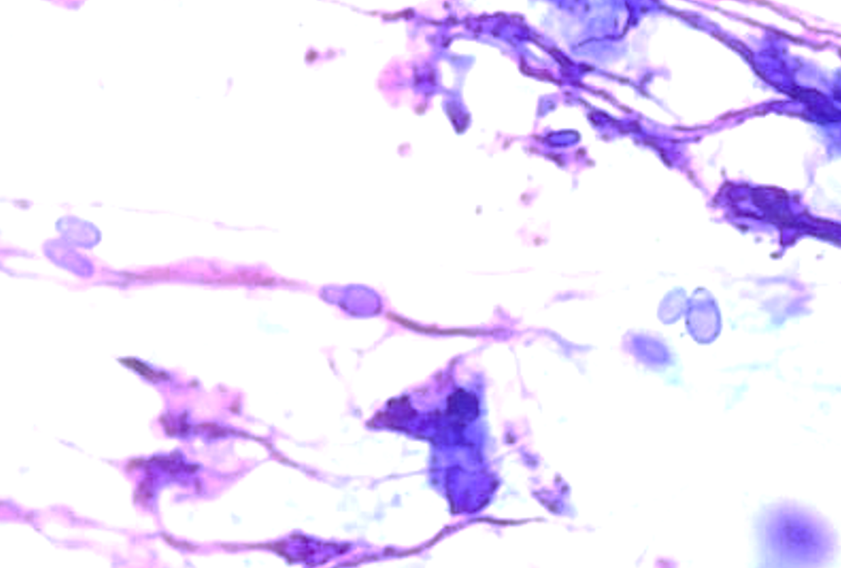
De diagnose wordt meestal eenvoudig gesteld op basis van het klinische beeld, de klachten en beoordeling met de dermatoscoop. Bij twijfel kan met een KOH-preparaat of methyleenblauwpreparaat onder de microscoop aanwezigheid van gist worden vastgesteld, eventueel aangevuld met onderzoek met de Woodslamp. Pityriasis capitis (door Malassezia) moet worden onderscheiden van andere aandoeningen, zoals psoriasis en atopisch eczeem van de hoofdhuid of een schimmelinfectie (tinea capitis).

Wilt u een afspraak of consult inplannen? Vul dan ons afspraakformulier in of bel ons op +31 6 34 34 26 58. Wij nemen binnen 24 uur contact met u op.
Maak afspraak