Porokeratose
Wat is porokeratose?
Porokeratose is een groep van zeldzame huidaandoeningen waarbij de normale vernieuwing van huidcellen verstoord is. De huidcellen rijpen niet op de gebruikelijke manier uit, waardoor er ringvormige huidafwijkingen ontstaan met een kenmerkende schilferende rand. Deze rand wordt de cornoid lamella genoemd. Porokeratose kan gepaard gaan met jeuk, roodheid en schilfering. Bij sommige vormen is er een klein verhoogd risico op het ontwikkelen van huidkanker (plaveiselcelcarcinoom).
Welke vormen van porokeratose zijn er?
Porokeratose omvat een groep aandoeningen die elk hun eigen uiterlijk, locatie en risicoprofiel hebben. De meest voorkomende vormen zijn:
De meest voorkomende vorm. Tientallen tot honderden kleine, vlakke schilferende huidafwijkingen, vooral op de armen en benen. Er is een erfelijke variant en een variant die ontstaat door zonbeschadiging.
Eén of enkele grotere ringvormige plekken die zich langzaam uitbreiden. Dit type kan al op jongere leeftijd voorkomen, heeft een erfelijke component en treft vaak de handen, voeten of het gelaat.
Een zeldzame variant die vooral optreedt bij mensen die langdurig afweeronderdrukkende medicijnen gebruiken, zoals na een orgaantransplantatie. De plekken kunnen tientallen centimeters groot zijn.
Een zeldzame en weinig bekende variant waarbij de huidafwijkingen zich bevinden in het genitale gebied, in de bilspleet en rondom de anus. Het wordt vaak verward met andere aandoeningen, zoals schimmelinfecties of wratten.
Hoe wordt porokeratose behandeld?
Kliniek Ebbelaar heeft veel ervaring met de behandeling van porokeratose. Zie hiertoe ook dit interview met dr. Ebbelaar. Conventionele behandelingen, zoals cryotherapie, topicale en orale retinoïden en 5-fluorouracil werken op zichzelf meestal niet. De voorkeursbehandeling voor bovengenoemde vormen van porokeratose is tegenwoordig een statine crème, met als werkzame bestanddelen simvastatine, atorvastatine of lovastatine. Statines zijn van oudsher bekend als cholesterolverlager, maar werkt bij porokeratose op een heel andere manier: het grijpt rechtstreeks in op het biologische proces dat de aandoening veroorzaakt.
Bij porokeratose zijn bepaalde genen die betrokken zijn bij de opbouw van huidcellen veranderd. Hierdoor hopen schadelijke tussenstoffen zich op in de huid, wat leidt tot de afwijkende celdeling en de kenmerkende huidafwijkingen. Statines remmen een sleutelstap in dit proces en verminderen daarmee de ophoping van die schadelijke stoffen. Deze crèmes zijn doorgaans zeer effectief bij porokeratose en de patiënttevredenheid over het resultaat is hoog, zeker na vaak jarenlange teleurstelling over de beschikbare behandelopties.
Op basis van uw huidconditie stellen wij een behandeling op maat samen. Wij werken nauw samen met bereidingsapotheken om de benodigde crèmes te laten bereiden. Waar nodig worden aanvullende behandelingen ingezet.
Hoe ontstaat porokeratose?
De volgende factoren spelen een rol bij het ontstaan van porokeratose:
- Genetische afwijkingen: Porokeratose ontstaat door veranderingen in genen die betrokken zijn bij een belangrijk celproces in de huid: het mevalonaatpad. Dit is een biochemische route die de huid gebruikt voor de aanmaak van stoffen die nodig zijn voor een normale huidcelopbouw. Wanneer dit pad verstoord is door (erfelijke) afwijkingen in genen, hopen giftige tussenstoffen zich op in de huid. Dit leidt ertoe dat huidcellen zich abnormaal gaan delen en niet meer normaal uitrijpen.
- Erfelijkheid: porokeratose komt vaker voor binnen families.
- Zonlicht: UV-straling is een belangrijke uitlokkende factor, met name bij DSAP.
- Verminderde weerstand: bij mensen die afweeronderdrukkende medicijnen gebruiken, zoals na een orgaantransplantatie, kan porokeratose in uitgebreidere en ernstigere vorm optreden.
Welke klachten geeft porokeratose?
De klachten kunnen per patiënt en per type variëren. De meest voorkomende zijn:
- Jeuk, soms wisselend van intensiteit. Bij porokeratosis ptychotropica is de jeuk vaak uitgesproken en hinderlijk.
- Roodheid en schilfering van de huidafwijkingen.
- Cosmetische hinder door de zichtbaarheid van de afwijkingen, met name bij de verspreide variant op de armen en benen.
Porokeratose is een chronische aandoening die zonder behandeling niet verdwijnt.
Bij wie komt porokeratose voor?
Porokeratose is een zeldzame huidaandoening. De verschillende typen komen voor bij verschillende groepen:
- Gedissemineerde superficiële porokeratose komt voor in families en ontstaat vaak al voor het 20-ste levensjaar.
- Gedissemineerde superficiële actinische porokeratose treft met name volwassenen van middelbare leeftijd en ouder, vaker vrouwen dan mannen, en mensen met een lichte huid die veel in de zon zijn geweest.
- Porokeratose van Mibelli kan al op jongere leeftijd ontstaan en heeft een erfelijke component.
- Giant porokeratose wordt met name gezien bij mensen met een sterk verminderde weerstand, zoals bij mensen die afweeronderdrukkende medicatie gebruiken.
Hoe ziet porokeratose eruit?
Porokeratose kenmerkt zich door ringvormige huidafwijkingen met een scherp begrensde, licht opstaande schilferende rand (de cornoid lamella).
Tientallen tot honderden kleine, vlakke, roodbruine schilferende afwijkingen op zonblootgestelde huid van armen, benen en schouders.
Tientallen tot honderden kleine, ronde, huidkleurige tot roodbruine schilferende afwijkingen. Op jongere leeftijd vaak mooier rond en minder grillig dan bij DSAP.
Grote, ronde tot grillige plekken die soms een heel onderbeen of ander lichaamsdeel bedekken, met uitgesproken schilfering en opstaande rand.
Eén of enkele grotere ringvormige plekken met karakteristiek opstaand randje, vaak op de handen, voeten of het gelaat, die vanaf de kinderleeftijd kan voorkomen.
Hoe wordt de diagnose gesteld?
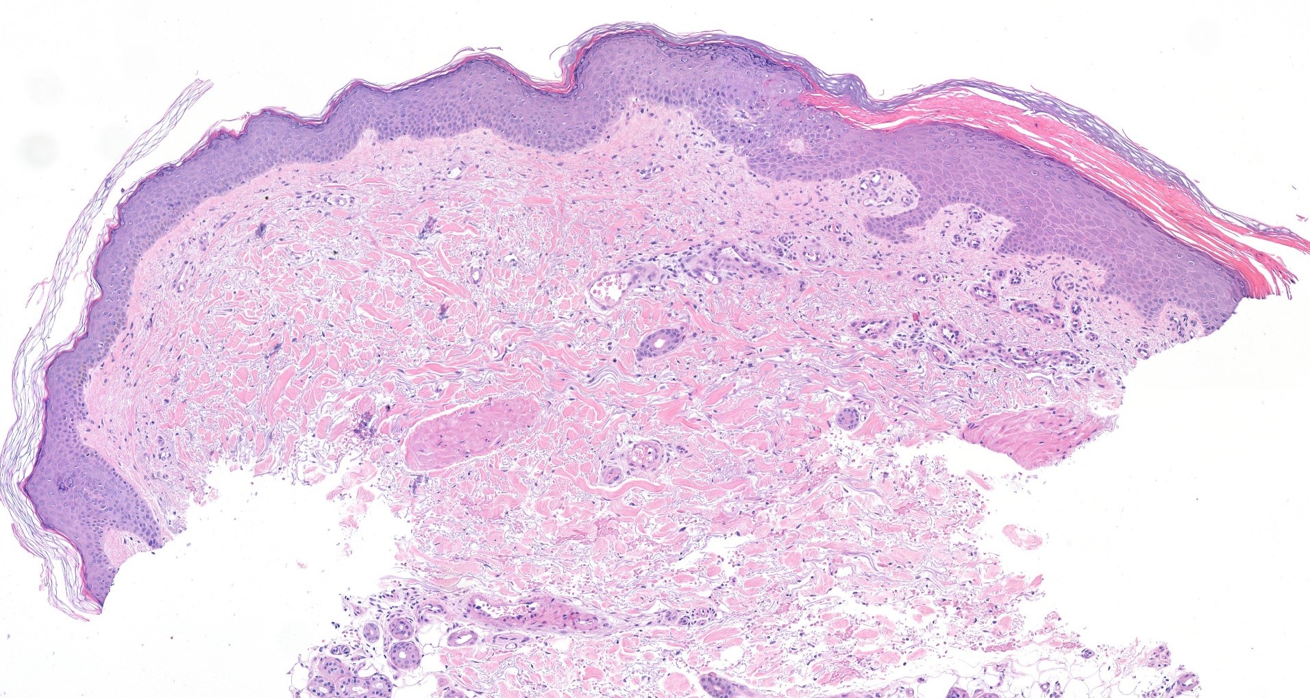
De diagnose porokeratose wordt door een ervaren behandelaar doorgaans gesteld op basis van het uiterlijk van de huid. De kenmerkende schilferende rand en de typische locatie zijn vaak al richtinggevend. Bij twijfel wordt een huidbiopsie verricht: een klein stukje huid wordt weggenomen en onder de microscoop onderzocht. De cornoid lamella is dan duidelijk herkenbaar. Bij porokeratose ptychotropica is een biopt vrijwel altijd noodzakelijk voor een betrouwbare diagnose, omdat het uiterlijk van de afwijkingen sterk kan lijken op andere aandoeningen.
Wil je meer weten over de behandelingsmogelijkheden? Neem gerust contact met ons op voor een persoonlijk consult.